Family Dentistry of Stuart | Cosmetic & Family Dentistry in Stuart, FL
Smile Makeovers starting at $149/month — Same-Day Appointments Available Book Now →
Cosmetic Dentistry · Stuart, FL

Smile Makeovers in Stuart, FL

Veneers, Invisalign, crowns & full smile transformations — from Stuart's most trusted cosmetic dental team with 194+ five-star reviews.

  • Exceptional Quality of Care
  • 3 Expert Cosmetic Dentists
  • Advanced Digital Technology
  • Caring & Compassionate Team
  • Same-Day Appointments Available
★★★★★

4.9 rating from 194+ verified reviews

Smile Makeovers Starting At
$149

/month

Transform Your Smile With Stuart's Premier Cosmetic Dental Team

Includes 8 upper crowns/veneers with 8 lower crowns/veneers at half price.

Veneers Invisalign Crowns Full Makeovers

Schedule Your Consultation

Same-day appointments available for cosmetic patients in Stuart, FL

*Starting price on approved payment plan. Subject to consultation. Individual results may vary.

3 Expert Cosmetic Dentists

Dr. Sconzo · Dr. Mendell · Dr. Willoughby

Same-Day Appointments

Early morning hours available

Advanced Technology

Digital imaging & 3D treatment planning

Personalized Care Plans

Tailored to your unique smile goals

Our Services

Artistry Meets Clinical Precision

Every cosmetic treatment is built around your goals — beautifully planned, expertly executed, lasting for years.

Porcelain Crowns

Teeth Whitening

Dental Veneers

Dental Bridges

Dental Bonding

Dental Inlays and Onlays

Your Care Team

Meet the Specialists Behind Every Smile

Dr. Anthony Sconzo
Dr. Anthony Sconzo
DMD · Lead Cosmetic Dentist

With deep expertise in cosmetic and restorative dentistry, Dr. Sconzo brings artistry and advanced technique to every smile transformation.

Dr. Blake Willoughby
Dr. Blake Willoughby
DMD · Cosmetic Specialist

Dr. Willoughby combines a meticulous aesthetic eye with warm, patient-centered care — making every consultation a confident experience.

Dr. Seth Mendell
Dr. Seth Mendell
DDS · Restorative & Cosmetic

Dr. Mendell blends technical precision with a warm approach — helping patients achieve healthy, natural smiles they genuinely love.

Patient Voices

194+ Patients Who Love Their Smiles

4.9
★★★★★

194+ Verified Google Reviews

"

At 36 years old it was my first time getting my teeth pulled so I was nervous and a little emotional about it. The staff and surgeon made me feel as comfortable and relaxed as possible mind you I had a curved root so as you may know this procedure could have went left but it did not. I am so happy that I chose you guys and will choose you guys a thousand times more. Thank you 😊

CJ
Chiquita J.
★★★★★
"

What a great find. Just moved to Hobe Sound and needed a dentist. I received a flyer in the mail at the right moment, set up an appointment and voila! New Dentist! The office was clean and professional looking, up to date equipment and the staff and doctor were personable and efficient. I also lucked out with a promotional package and left the place happy with my nicely cleaned smile.

JS
Jack S.
★★★★★
"

I want to thank everyone from the front desk all the way up to the dentist for making my experience very pleasant. Went in for a checkup and was given a complete explanation of what needed to be done. The dentist made it super painless. Will definitely be going back.

RC
Rob C.
★★★★★
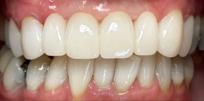
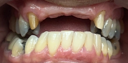
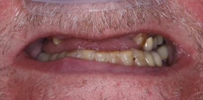
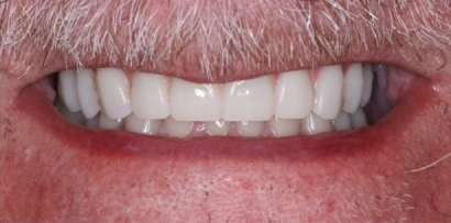
Real Results

Before & After

Witness the transformative power of our cosmetic dentistry services. Real patient results showcasing our expertise and commitment to beautiful smiles.

Before
After
Before
After
Before
After
Take the First Step

Ready to Transform Your Smile?

Our consultation slots fill quickly. Take the first step toward the smile you deserve — book online or call us directly right now.

(772) 272-1551

🕐 Office Hours

  • Monday 9:00 am – 5:00 pm
  • Tuesday 9:00 am – 5:00 pm
  • Wednesday 9:00 am – 5:00 pm
  • Thursday 9:00 am – 5:00 pm
  • Friday 9:00 am – 5:00 pm
  • Saturday 9:00 am – 4:00 pm
  • Sunday Closed

📍 Find Us

Family Dentistry of Stuart 5761 SE Federal Hwy
Stuart, FL 34997

(772) 272-1551
Call Now